WhatsApp Max VK Telegram Задать вопрос
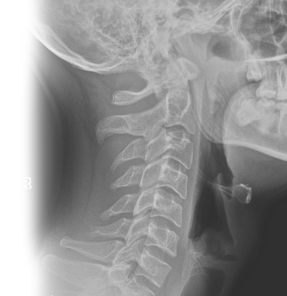
Рентгенография гортани в боковой проекции Рентгенография гортани в боковой проекции

Рентгенография гортани в боковой проекции

Рентгенография гортани в боковой проекции (по Земцову) – важный метод прицельного исследования, который позволяет оценить состояние гортано-глотки. Диагностическая услуга выполняется одной проекции.

Показания для проведения рентгена гортани в боковой проекции:

Исследование позволяет выявить сужение просвета гортани различной этиологии: опухолевой, инфекционной, инородные тела.

  • нарушения речи, глотания, дыхания;
  • подозрение на наличие опухолей, полипов, стриктур.

Для предотвращения и своевременного выявления проблем рекомендуется проходить регулярные профилактические осмотры у специалистов. Важно не игнорировать симптомы и обращаться за медицинской помощью при необходимости.

Обратитесь к профессионалам наших медицинских центров для проведения этой процедуры и получения квалифицированной медицинской помощи.

Подготовка к рентгену гортани в боковой проекции:

Специальной подготовки к проведению исследования не требуется.

Как проводится рентген гортани в боковой проекции?

Процесс проведения медицинских исследований в нашей сети осуществляется оперативно и эффективно.

  Сканирование выполняется в течение 10 минут, что позволяет быстро получить необходимую информацию.

  Результаты исследования обычно готовы в течение дня, но при острой патологии они могут быть предоставлены сразу.

Услуги и цены
18.44 Рентгенография (цифровая) гортани в боковой проекции ( по Земцову) 3 350 ₽
По Вашему запросу услуг не найдено
Администрация клиники принимает все меры по своевременному обновлению размещенного на сайте прайс-листа, однако во избежание возможных недоразумений, просьба уточнять стоимость услуг у администратора по тел +7 495 662-58-85. Размещенный прайс не является офертой. Обращаем ваше внимание, что окончательная стоимость услуг определяется в ходе приема врачом-специалистом и зависит как от особенностей конкретной клинической ситуации, так и от статуса специалиста (специалист, ведущий специалист, эксперт и т.д.).
Врачи
Баранова Надежда Александровна
Рентгенолог
Полежаевская
Прием детей с 0 лет
Якубовский Дмитрий Викторович
Рентгенолог
Полежаевская
Ведущий специалист
Прием детей с 3 лет
Филиалы
г. Москва, Хорошевское шоссе, д. 80
Детский прием
Аптека
Стоматология
Полежаевская
Время работы пн-пт с 08:00 до 21:00 сб-вс с 09:00 до 21:00
Ваш браузер устарел рекомендуем обновить его до последней версии
или использовать другой более современный.