WhatsApp Max VK Telegram Задать вопрос
Рентгенография грудного отдела позвоночника Рентгенография грудного отдела позвоночника

Рентгенография грудного отдела позвоночника

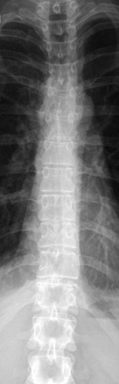
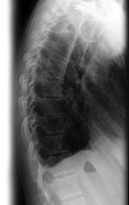
Рентгенография грудного отдела позвоночника – важный метод скринингового исследования, который позволяет оценить состояние грудного отдела позвоночника. Диагностическая услуга выполняется в двух проекциях.

Показания для проведения рентгена грудного отдела позвоночника:

  • боли и дискомфорт в грудном отделе позвоночника;
  • слабость в ногах;
  • ограничение подвижности в грудном отделе позвоночника.

Для предотвращения и своевременного выявления проблем рекомендуется проходить регулярные профилактические осмотры у специалистов. Важно не игнорировать симптомы и обращаться за медицинской помощью при необходимости.

Обратитесь к профессионалам наших медицинских центров для проведения этой процедуры и получения квалифицированной медицинской помощи.

Подготовка к рентгену грудного отдела позвоночника:

Специальной подготовки к проведению исследования не требуется.

Как проводится рентген грудного отдела позвоночника?

Процесс проведения медицинских исследований в нашей сети осуществляется оперативно и эффективно.

  Сканирование выполняется в течение 10 минут, что позволяет быстро получить необходимую информацию.

  Результаты исследования обычно готовы в течение дня, но при острой патологии они могут быть предоставлены сразу.

Услуги и цены
18.3 Рентгенография (цифровая) грудного отдела позвоночника ( 2 проекции, запись на диск) 3 100 ₽
По Вашему запросу услуг не найдено
Администрация клиники принимает все меры по своевременному обновлению размещенного на сайте прайс-листа, однако во избежание возможных недоразумений, просьба уточнять стоимость услуг у администратора по тел +7 495 662-58-85. Размещенный прайс не является офертой. Обращаем ваше внимание, что окончательная стоимость услуг определяется в ходе приема врачом-специалистом и зависит как от особенностей конкретной клинической ситуации, так и от статуса специалиста (специалист, ведущий специалист, эксперт и т.д.).
Врачи
Абдулазиз Захед Бозанович
Рентгенолог
Клиника «Семейная» в Подольске
Прием детей с 3 лет
Балев Василий Алексеевич
Рентгенолаборант
Сходненская
Прием детей с 3 лет
Баранова Надежда Александровна
Рентгенолог
Полежаевская
Прием детей с 0 лет
Вороная Евгения Сергеевна
Рентгенолог
Клиника «Семейная» в Подольске
Прием детей с 1 года
Истудор Анжела Константиновна
Рентгенолаборант
Каширская
Прием детей с 7 лет
Крючков Александр Алексеевич
Рентгенолаборант
Сходненская
Прием детей с 3 лет
Матвеев Иван Борисович
Врач лучевой диагностики
Клиника «Семейная» в Подольске
Мельников Сергей Геннадьевич
Оториноларинголог, Детский оториноларинголог, Рентгенолог
Полежаевская
Ведущий специалист
Прием детей с 0 лет
Монгуш Шораан Айсенович
Рентгенолог
Клиника «Семейная» в Подольске
Прием детей с 0 лет
Нагорный Давид Николаевич
Рентгенолаборант
Университет
Соколова Татьяна Михайловна
Рентгенолаборант
Университет
Прием детей с 4 лет
Шарапова Оксана Николаевна
Рентгенолаборант
Площадь Ильича
Шорин Дмитрий Владимирович
Рентгенолог
Клиника «Семейная» в Подольске
Прием детей с 0 лет
Шорникова Наталья Владимировна
Рентгенолаборант
Сходненская
Прием детей с 0 лет
Якубовский Дмитрий Викторович
Рентгенолог
Полежаевская
Ведущий специалист
Прием детей с 3 лет
Филиалы
г. Москва, ул. Первомайская, д. 42
Детский прием
Стоматология
Измайловская
Время работы пн-пт с 08:00 до 21:00 сб-вс с 09:00 до 21:00
г. Москва, Каширское шоссе, д. 56
Детский прием
Каширская
Время работы пн-пт с 08:00 до 21:00 сб-вс с 09:00 до 21:00
г. Москва, ул. Брянская, д. 3
Диагностический центр (аппараты КТ и МРТ)
Стоматология
Круглосуточный стационар
Киевская
Время работы пн-пт с 08:00 до 21:00 сб-вс с 09:00 до 21:00
г. Москва, ул. С. Радонежского, д. 5/2, стр. 1
Детский прием
Стоматология
Круглосуточный стационар
Площадь Ильича
Время работы пн-пт с 08:00 до 21:00 сб-вс с 09:00 до 21:00
г. Москва, Хорошевское шоссе, д. 80
Детский прием
Аптека
Стоматология
Полежаевская
Время работы пн-пт с 08:00 до 21:00 сб-вс с 09:00 до 21:00
г. Москва, ул. Героев Панфиловцев, д. 1
Детский прием
Стоматология
Сходненская
Время работы пн-пт с 08:00 до 21:00 сб-вс с 09:00 до 21:00
г. Москва, Университетский проспект, д. 4
Детский прием
Стоматология
Университет
Время работы пн-пт с 08:00 до 21:00 сб-вс с 09:00 до 21:00
МО, Истринский р-н, д. Покровское, ул. Центральная, участок №27, с/п Обушковское
Детский прием
Стоматология
Время работы ежедневно с 09:00 до 21:00
МО, г.о. Подольск, г. Подольск, ул. Большая Серпуховская, д. 51
Детский прием
Стоматология
Время работы пн-пт с 08:00 до 21:00 сб-вс с 09:00 до 21:00
Ваш браузер устарел рекомендуем обновить его до последней версии
или использовать другой более современный.