WhatsApp Max VK Telegram Задать вопрос
МРТ крестцово-копчикового отдела позвоночника МРТ крестцово-копчикового отдела позвоночника

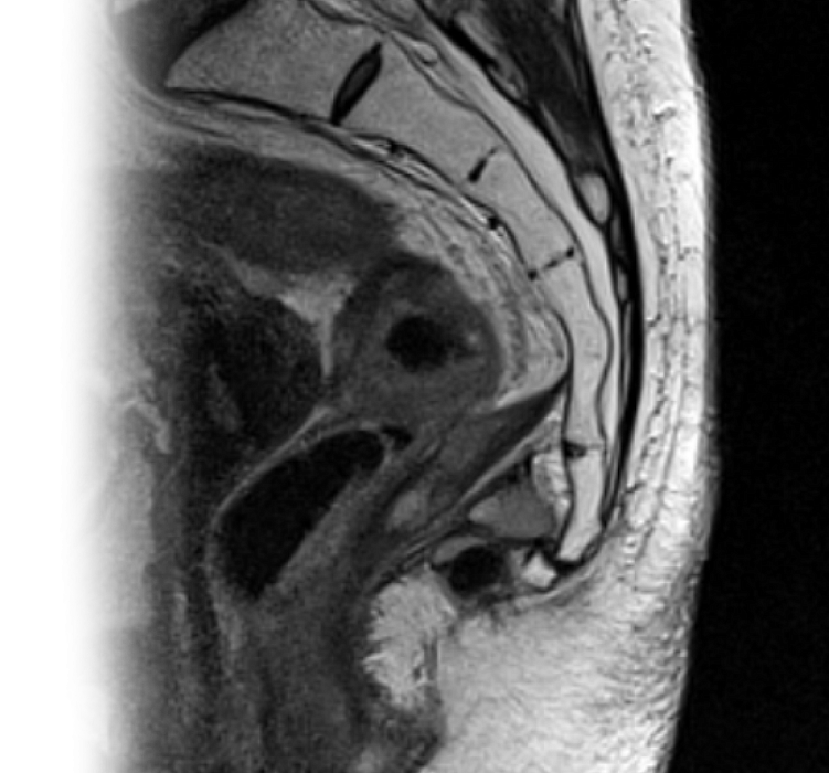
МРТ крестцово-копчикового отдела позвоночника

Магнитно-резонансная томография крестцово-копчикового отдела позвоночника – важный метод исследования, который позволяет оценить состояние крестца и копчика.

Для предотвращения и своевременного выявления проблем рекомендуется проходить регулярные профилактические осмотры у специалистов. Важно не игнорировать симптомы и обращаться за медицинской помощью при необходимости.

Обратитесь к профессионалам наших медицинских центров для проведения этой процедуры и получения квалифицированной медицинской помощи.

Показания для проведения МРТ крестцово-копчикового отдела позвоночника:

  • боль в области крестца и копчика;
  • воспаление в копчиковой области;
  • травма.

Подготовка к МРТ крестцово-копчикового отдела позвоночника:

Специальной подготовки к проведению исследования не требуется.

Как проводится МРТ крестцово-копчикового отдела позвоночника?

Перед укладкой в томограф необходимо снять все металлические предметы.

После этого пациент ложится на стол сканера, который постепенно перемещается в аппарат. Во время сканирования следует лежать неподвижно, чтобы получаемые изображения были четкими и неискаженными.

Процесс проведения медицинских исследований в нашей сети осуществляется оперативно и эффективно.

  Сканирование выполняется в течение 20 минут, что позволяет быстро получить необходимую информацию.

  Результаты исследования обычно готовы в течение дня, но при острой патологии они могут быть предоставлены сразу.

После исследования вы получаете:

высококачественные снимки органов и тканей
подробную расшифровку результатов
возможность детального разбора с участием врачебного консилиума
Услуги и цены
78-1-2-008 МРТ крестцово-копчикового отдела позвоночника (запись на диск) 6 000 ₽
По Вашему запросу услуг не найдено
Администрация клиники принимает все меры по своевременному обновлению размещенного на сайте прайс-листа, однако во избежание возможных недоразумений, просьба уточнять стоимость услуг у администратора по тел +7 495 662-58-85. Размещенный прайс не является офертой. Обращаем ваше внимание, что окончательная стоимость услуг определяется в ходе приема врачом-специалистом и зависит как от особенностей конкретной клинической ситуации, так и от статуса специалиста (специалист, ведущий специалист, эксперт и т.д.).
Филиалы
г. Москва, ул. Брянская, д. 3
Диагностический центр (аппараты КТ и МРТ)
Стоматология
Круглосуточный стационар
Киевская
Время работы пн-пт с 08:00 до 21:00 сб-вс с 09:00 до 21:00
Ваш браузер устарел рекомендуем обновить его до последней версии
или использовать другой более современный.