WhatsApp Max VK Telegram Задать вопрос
МР контрастная урография МР контрастная урография

МР контрастная урография

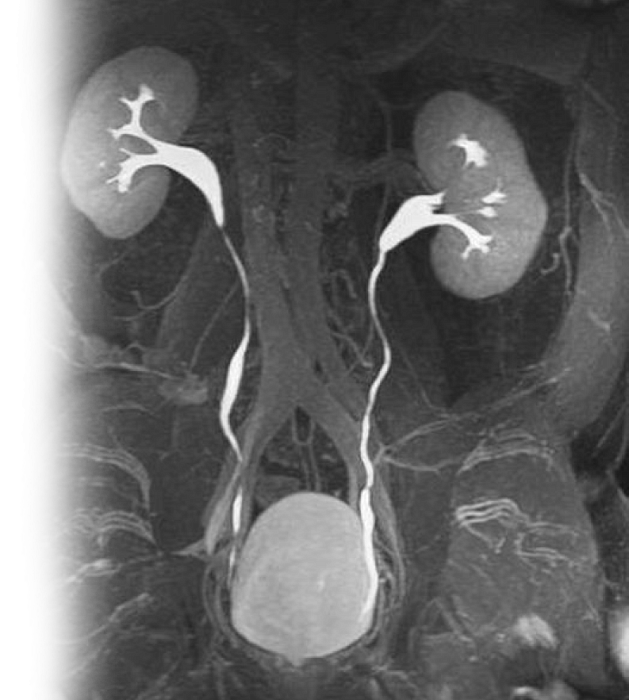
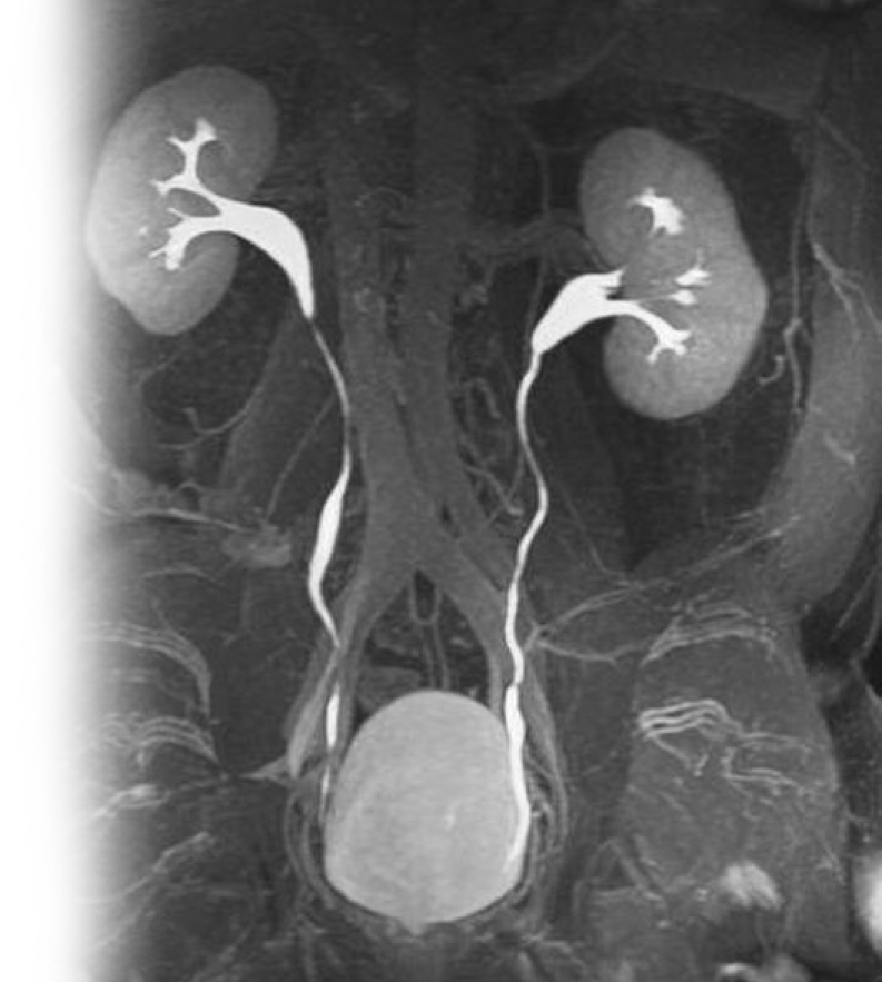
МР контрастная урография – важный метод исследования с применением контрастирующего вещества, который позволяет визуализировать лоханки и мочеточники, паренхимы почек и окружающих мягких тканей.

Для предотвращения и своевременного выявления проблем рекомендуется проходить регулярные профилактические осмотры у специалистов. Важно не игнорировать симптомы и обращаться за медицинской помощью при необходимости.

Обратитесь к профессионалам наших медицинских центров для проведения этой процедуры и получения квалифицированной медицинской помощи.

Показания для проведения МР контрастной урографии:

  • боли в пояснице;
  • нарушение оттока мочи;
  • недомогание;
  • слабость;
  • примесь крови в моче.

Подготовка к МР контрастной урографии:

К МР контрастной урографии необходима тщательная подготовка!

Диета за 2 суток

Нельзя продукты, усиливающие газообразование в кишечнике:

Нужно продукты, уменьшающие газообразование в кишечнике:

  • творог, сливочный сыр, сметана, мороженое, йогурт
  • фрукты, соки
  • бобовые, грибы, капуста (в т.ч. квашеная)
  • хлеб и кондитерские изделия, сладости
  • алкогольные напитки
  • газированные напитки, в т.ч. квас
  • мед, заменители сахара (в т.ч. жевательная резинка)
  • безлактозное/овсяное/рисовое молоко
  • куриное яйцо
  • отварное мясо, каши
  • арахис, грецкий орех

Подготовка кишечника

Не требуется

Диета в день исследования

  • Не есть последние 4 часа до исследования
  • Пить простую воду без ограничений

Препараты

За 30 минут до исследования – Но-шпа (обычная по 40 мг, не Форте), 3 таблетки

Взять с собой

  • Данные предыдущих исследований (диски, заключения)
  • Выписки, эпикризы, анализы и другую медицинскую документацию

Явка

За 20 минут до исследования

Соблюдение указанных рекомендаций поможет обеспечить эффективное проведение исследования мочевыводящих путей и получение точной картины для назначения соответствующего лечения.

Как проводится МР контрастной урографии?

Перед укладкой в томограф необходимо снять все металлические предметы. Перед процедурой устанавливается внутривенный катетер для введения контрастного препарата непосредственно во время исследования.

После этого пациент ложится на стол сканера, который постепенно перемещается в аппарат. Во время сканирования следует лежать неподвижно, чтобы получаемые изображения были четкими и неискаженными.

Процесс проведения медицинских исследований в нашей сети осуществляется оперативно и эффективно.

  Исследование длится 60 минут.

  Результаты исследования обычно готовы в течение дня, но при острой патологии они могут быть предоставлены сразу.

После исследования вы получаете:

высококачественные снимки органов и тканей
подробную расшифровку результатов
возможность детального разбора с участием врачебного консилиума
Услуги и цены
78-1-8-034 МР контрастная урография (запись на диск) 6 000 ₽
По Вашему запросу услуг не найдено
Администрация клиники принимает все меры по своевременному обновлению размещенного на сайте прайс-листа, однако во избежание возможных недоразумений, просьба уточнять стоимость услуг у администратора по тел +7 495 662-58-85. Размещенный прайс не является офертой. Обращаем ваше внимание, что окончательная стоимость услуг определяется в ходе приема врачом-специалистом и зависит как от особенностей конкретной клинической ситуации, так и от статуса специалиста (специалист, ведущий специалист, эксперт и т.д.).
Филиалы
г. Москва, ул. Брянская, д. 3
Диагностический центр (аппараты КТ и МРТ)
Стоматология
Круглосуточный стационар
Киевская
Время работы пн-пт с 08:00 до 21:00 сб-вс с 09:00 до 21:00
Ваш браузер устарел рекомендуем обновить его до последней версии
или использовать другой более современный.