WhatsApp Max VK Telegram Задать вопрос
МРТ мягких тканей с контрастом МРТ мягких тканей с контрастом

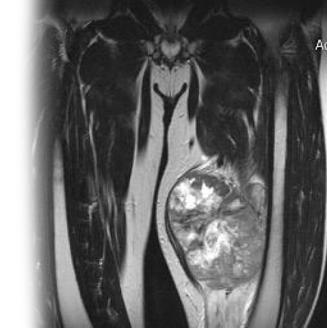
МРТ мягких тканей с контрастом

Магнитно-резонансная томография мягких тканей с контрастированием – важный метод исследования с введением контраста, которое позволяет визуализировать мышцы, связки, сухожилия, подкожно-жировую клетчатку.

Также проводится МРТ мягких тканей одного сегмента конечностей с контрастированием.

Для предотвращения и своевременного выявления проблем рекомендуется проходить регулярные профилактические осмотры у специалистов. Важно не игнорировать симптомы и обращаться за медицинской помощью при необходимости.

Обратитесь к профессионалам наших медицинских центров для проведения этой процедуры и получения квалифицированной медицинской помощи.

Показания для проведения МРТ мягких тканей с контрастом:

  • увеличение размеров мягких тканей;
  • покраснение;
  • отек;
  • длительная боль;
  • нарушение структуры поверхностных мягких тканей.

Подготовка к МРТ мягких тканей с контрастом:

Специальной подготовки к проведению исследования не требуется.

Как проводится МРТ мягких тканей с контрастом?

Перед укладкой в томограф необходимо снять все металлические предметы. Перед процедурой устанавливается внутривенный катетер для введения контрастного препарата непосредственно во время исследования. После этого пациент ложится на стол сканера, который постепенно перемещается в аппарат. Во время сканирования следует лежать неподвижно, чтобы получаемые изображения были четкими и неискаженными.

Процесс проведения медицинских исследований в нашей сети осуществляется оперативно и эффективно.

  Исследование длится 60 минут.

  Результаты исследования обычно готовы в течение дня, но при острой патологии они могут быть предоставлены сразу.

После исследования вы получаете:

высококачественные снимки органов и тканей
подробную расшифровку результатов
возможность детального разбора с участием врачебного консилиума
Ваш браузер устарел рекомендуем обновить его до последней версии
или использовать другой более современный.