WhatsApp Max VK Telegram Задать вопрос
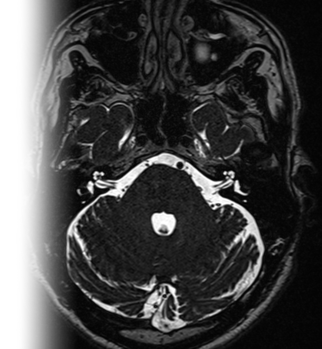
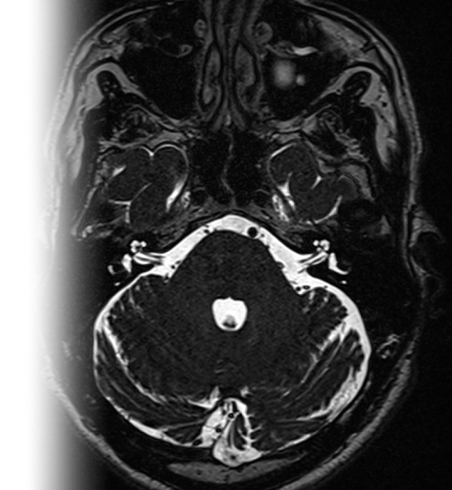
МРТ головного мозга при вазоневральном конфликте МРТ головного мозга при вазоневральном конфликте

МРТ головного мозга при вазоневральном конфликте

МРТ головного мозга при вазоневральном конфликте (тройничный нерв, вестибулокохлеарный нерв, мостомозжечковый угол) – важный метод исследования, который позволяет оценить структуры мосто-мозжечковых углов, взаимоотношения артерий и черепно-мозговых нервов.

Для предотвращения и своевременного выявления проблем рекомендуется проходить регулярные профилактические осмотры у специалистов. Важно не игнорировать симптомы и обращаться за медицинской помощью при необходимости.

Обратитесь к профессионалам наших медицинских центров для проведения этой процедуры и получения квалифицированной медицинской помощи.

Показания для проведения МРТ головного мозга при вазоневральном конфликте:

  • шум в ушах;
  • снижение слуха;
  • головокружение;
  • невралгия тройничного нерва;
  • гемифациальный спазм.

Подготовка к МРТ головного мозга при вазоневральном конфликте:

Специальной подготовки к проведению исследования не требуется.

Как проводится МРТ головного мозга при вазоневральном конфликте?

Перед укладкой в томограф необходимо снять все металлические предметы. После этого пациент ложится на стол сканера, который постепенно перемещается в аппарат. Во время сканирования следует лежать неподвижно, чтобы получаемые изображения были четкими и неискаженными.

Процесс проведения медицинских исследований в нашей сети осуществляется оперативно и эффективно.

  Исследование длится 40 минут.

  Результаты исследования обычно готовы в течение дня, но при острой патологии они могут быть предоставлены сразу.

После исследования вы получаете:

высококачественные снимки органов и тканей
подробную расшифровку результатов
возможность детального разбора с участием врачебного консилиума
Услуги и цены
78-1-1-020 МРТ головного мозга при вазоневральном конфликте (тройничный нерв, вестибулокохлеарный нерв, мостомозжечковый угол, запись на диск) 9 800 ₽
По Вашему запросу услуг не найдено
Администрация клиники принимает все меры по своевременному обновлению размещенного на сайте прайс-листа, однако во избежание возможных недоразумений, просьба уточнять стоимость услуг у администратора по тел +7 495 662-58-85. Размещенный прайс не является офертой. Обращаем ваше внимание, что окончательная стоимость услуг определяется в ходе приема врачом-специалистом и зависит как от особенностей конкретной клинической ситуации, так и от статуса специалиста (специалист, ведущий специалист, эксперт и т.д.).
Филиалы
г. Москва, ул. Брянская, д. 3
Диагностический центр (аппараты КТ и МРТ)
Стоматология
Круглосуточный стационар
Киевская
Время работы пн-пт с 08:00 до 21:00 сб-вс с 09:00 до 21:00
Ваш браузер устарел рекомендуем обновить его до последней версии
или использовать другой более современный.