Москва и МО
Тула
Рязань
+7 495 662 58 85
Личный кабинет
Личный кабинет
Клиники
Услуги и цены
Популярные услуги
Лечение взрослых
Лечение детей
Стационар
Диагностика
Оформление справок
Онлайн консультации
Восстановление
Вакцинация
Хирургия
Косметология
Медицинские программы
Аллергология
Андрология
Аритмология
Венерология
Вертебрология
Гастроэнтерология
Гематология
Гинекология
Дерматология
Диетология
Кардиология
Колопроктология
Логопедия
Маммология
Наркология
Неврология
Нефрология
Онкология
Оториноларингология
Офтальмология
Подология
Психиатрия
Психология
Психотерапия
Пульмонология
Ревматология
Сексология
Сомнология
Терапия
Травматология
Трихология
Урология
Флебология
Фониатрия
Хирургия
Эндокринология
Вызов врача взрослому
Детская аллергология
Детская гастроэнтерология
Детская гинекология
Детская дерматология
Детская логопедия
Детская неврология
Детская оториноларингология
Детская офтальмология
Детская психология
Детская психиатрия
Детская травматология-ортопедия
Детская урология
Детская хирургия
Детская эндокринология
Педиатрия
Вызов врача ребенку
Научно-практический центр хирургии
Стационар на Киевской
Стационар на Радонежского
Компьютерная томография
Магнитно-резонансная томография
Рентген
УЗИ
ФД
Эндоскопия
Анализы
Справки для взрослых
Справки для детей
Онлайн консультации
Рефлексотерапия
Массаж
Лечебная физкультура (ЛФК)
Физиотерапия
Мануальная терапия
Вакцинация взрослых
Вакцинация детей
Пластическая хирургия
Абдоминальная хирургия
Хирургия на позвоночнике
ЛОР-хирургия
Нейрохирургия
Оперативная гинекология
Оперативная колопроктология
Оперативная маммология
Оперативная травматология и ортопедия
Оперативная урология
Оперативная флебология
Хирургия кисти
Эндокринная хирургия
Консультация косметолога
Биорегенерация
Нитевой лифтинг
RF-лифтинг Virtue
RF-лифтинг на аппарате INUS
Ботулинотерапия
Плазмотерапия
SMAS-лифтинг на аппарате UTIMS-A3
SMAS-лифтинг на аппарате Ultraformer III
Аппарат Harmony XL PRO
Эрбиевые лазеры
Аппарат Fraction CO2
Аппарат Джет Пил
Аппарат Media Star Next pro Asclepion
Аппарат Heleo4
Аппарат Ellipse Multi Flex Plus
Тредлифтинг мезонитями
Мезотерапия волосистой части головы
Микротоковая терапия
Биоревитализация
Контурная пластика
Диагностика женщин
Диагностика мужчин
Детские программы
Ведение беременности
Оформление справок
Годовое обслуживание
Записаться на приём
Войти в личный кабинет
Оплата услуг
Рассрочка
Подготовка к исследованиям
Подготовка к анализам
Скачать прайс-лист
Врачи
Стационары
Научно-практический центр хирургии на Бауманской
Хирургический стационар м. пл. Ильича
Стационар м. Киевская
Записаться на приём
Войти в личный кабинет
Оплата услуг
Рассрочка
Подготовка к исследованиям
Подготовка к анализам
Скачать прайс-лист
Акции
Программы
Программы для взрослых
Детские программы
Ведение беременности
Программы для оформления справок
Годовое обслуживание
Записаться на приём
Войти в личный кабинет
Оплата услуг
Рассрочка
Подготовка к исследованиям
Подготовка к анализам
Скачать прайс-лист
ОМС и ДМС
ОМС
ДМС
Записаться на приём
Войти в личный кабинет
Оплата услуг
Рассрочка
Подготовка к исследованиям
Подготовка к анализам
Скачать прайс-лист
О Компании
Лицензии
Руководство
Новости и события
Полезные материалы
Контакты
История
Вакансии
Правила оказания медицинских услуг
Отзывы
Социальная ответственность
Наука и образование
Образовательная организация
Правовая информация
Записаться на приём
Войти в личный кабинет
Оплата услуг
Рассрочка
Подготовка к исследованиям
Подготовка к анализам
Скачать прайс-лист
Пресс-центр
Новости
Статьи
Кейсы
Записаться на приём
Войти в личный кабинет
Оплата услуг
Рассрочка
Подготовка к исследованиям
Подготовка к анализам
Скачать прайс-лист
Подготовка к исследованиям
Подготовка к анализам
+7 495 662 58 85
Записаться на приём
Войти в личный кабинет
Услуги
Врачи
Запись
Связаться
Главная
Услуги и цены
Диагностика
Магнитно-резонансная томография
МРТ с использованием контрастного вещества
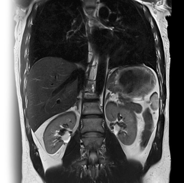
МРТ брюшной полости и забрюшинного пространства с контрастированием
МРТ брюшной полости и забрюшинного пространства с контрастированием
Записаться на приём
Войти в личный кабинет
МРТ брюшной полости + МР холангиография с контрастом
ЗАПИШИТЕСЬ
К НАМ НА ПРИЕМ
Записаться на приём
Войти в личный кабинет
Мы используем
файлы соoкіе
для улучшения работы сайта
Хорошо
Обратный звонок
Это поле некорректно
Это поле некорректно
Отправить
Не проставлена галочка согласия
Действуя своей волей и в своем интересе, даю согласие ООО «ССМЦ» на обработку указанных мной персональных данных в целях оформления заявки на получение обратного звонка на
условиями
обработки персональных данных в соответствии с
«Политикой обработки персональных данных»
в ООО «ССМЦ»
Написать нам
Это поле некорректно
Это поле некорректно
Это поле некорректно
Отправить
Не проставлена галочка согласия
Действуя своей волей и в своем интересе, даю согласие ООО «ССМЦ» на обработку указанных мной персональных данных в целях оформления заявки на получение обратной связи на
условиями
обработки персональных данных в соответствии с
«Политикой обработки персональных данных»
в ООО «ССМЦ»
оставить отзыв
О специалисте
О филиале
Задать вопрос
Это поле некорректно
Это поле некорректно
Это поле некорректно
Это поле некорректно
Отправить
Не проставлена галочка согласия
Действуя своей волей и в своем интересе, даю согласие ООО «ССМЦ» на обработку указанных мной персональных данных в целях оформления заявки на получение обратной связи на
условиями
обработки персональных данных в соответствии с
«Политикой обработки персональных данных»
в ООО «ССМЦ»
Спасибо! Ваша заявка отправлена
Ваш браузер устарел рекомендуем обновить его до последней версии
или использовать другой более современный.