WhatsApp Max VK Telegram Задать вопрос
Педиатрия

Живот растет, а вес уходит

Байсангуров Астемир Феликсович
Байсангуров Астемир Феликсович
Врач лучевой диагностики
Балабин Николай Сергеевич
Балабин Николай Сергеевич
Врач лучевой диагностики

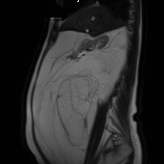
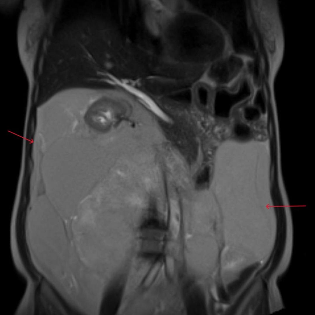
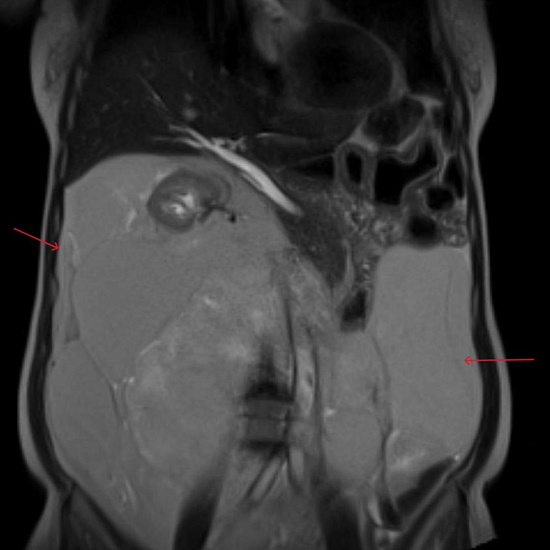
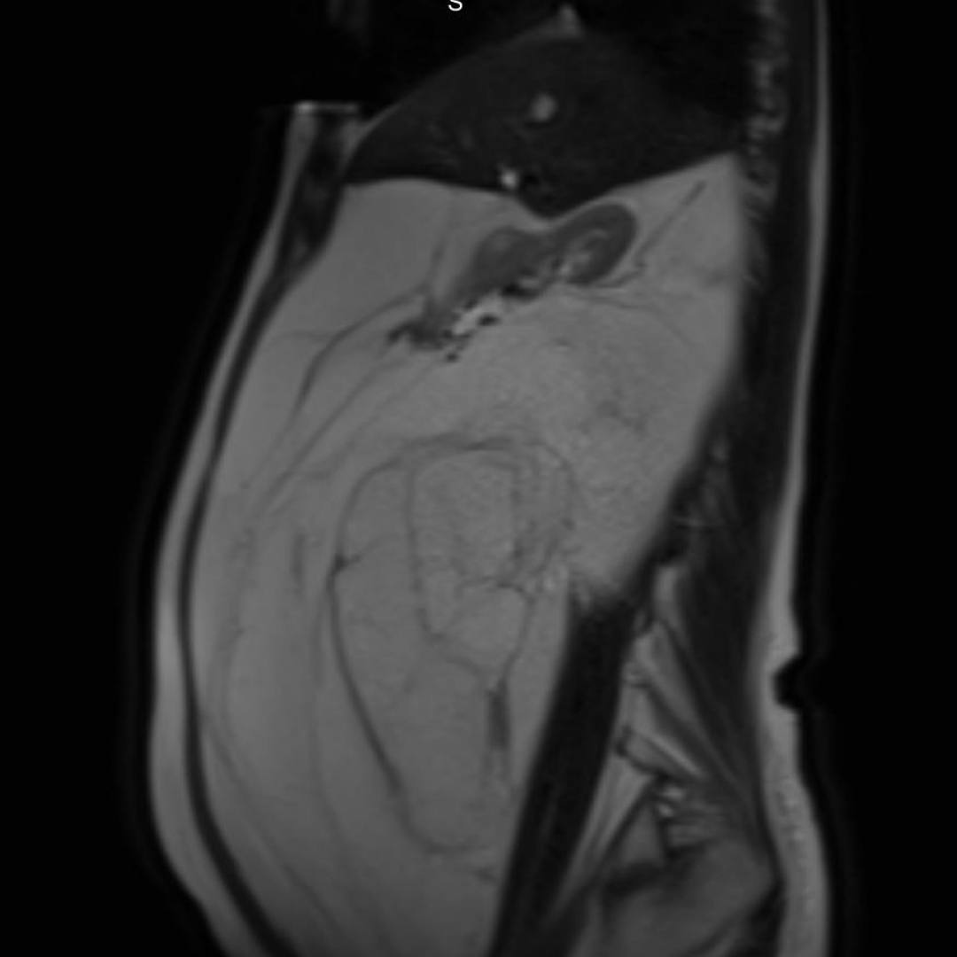
Пациентка 68 лет обратилась к хирургу с жалобами на увеличение размеров живота и снижение массы тела.

Накануне проведено УЗИ органов брюшной полости, выявлено образование брюшной полости.

С целью оценки образования, а также уточнения расположения и взаимоотношения с органами брюшной полости проведено МРТ органов брюшной полости с внутривенным контрастированием.

При МРТ было выявлено жиросодержащее внеорганное объемное образование больших размеров с множественными неравномерными накапливающими контрастный препарат перегородками, занимающее большую часть брюшной полости с признаками смещения прилежащих внутренних органов.

Учитывая особенности структуры образования, распространенность и расположение, находка расценена как липосаркома (злокачественная опухоль жировой ткани).

Пациентка направлена на консультацию к хирургу с последующим выполнением биопсии под УЗ-контролем, где диагноз был подтвержден.


Ваш браузер устарел рекомендуем обновить его до последней версии
или использовать другой более современный.