WhatsApp Max VK Telegram Задать вопрос
Педиатрия

Цистаденома

Байсангуров Астемир Феликсович
Байсангуров Астемир Феликсович
Врач лучевой диагностики

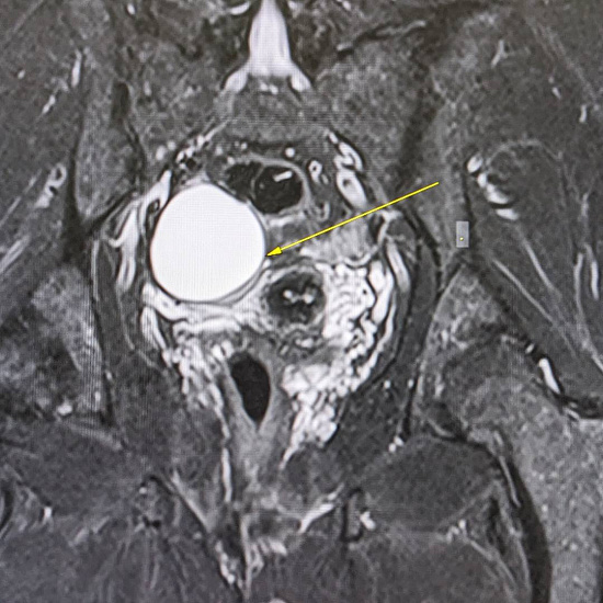
53-летняя пациентка обратилась к гинекологу в рамках программы check-up. При осмотре документации выяснилось, что на проведенных УЗИ-исследованиях от 2021 и 2023 года определяется образование правого яичника, требующее дифференциальной диагностики между эндометриоидной кистой и кистозно измененным яичником.

С целью оценки образования, уточнения его структуры и динамики роста пациентке было проведено МРТ органов малого таза.

При МРТ было выявлено жидкостное кистозное образование правого яичника без папиллярных разрастаний, гораздо больших размеров относительно первоначального УЗИ-исследования.

Учитывая анамнез пациентки, особенности структуры и размеры образования, была заподозрена цистаденома.

Пациентка направлена на повторную консультацию к гинекологу с последующим удалением данного образования, учитывая отрицательную динамику роста.


Ваш браузер устарел рекомендуем обновить его до последней версии
или использовать другой более современный.