WhatsApp Max VK Telegram Задать вопрос
Педиатрия

Скованная шаткость

Женщина 75 лет обратилась с нарушением ходьбы, которая прогрессирует с 71 года.

Проблема началась постепенно с «заносов в сторону». В 72 года пациентка начала пользоваться тростью. В 73 года начала требоваться опора на руки, чтобы подняться со стула или кресла. В 74 года перешла на использование 4-опорной трости.

Отмечается появление болей в мышцах ног при ходьбе на короткие (200 метров) дистанции. Последний год пациентка испытывает боли в пояснице. Последние 2-3 года испытывает расстройство мочеиспускания и стула, периодически – поносы, не чувствует позывы.

Параллельно пациентка рассказала о многолетних головных болях (которые оказались мигренью с визуальной аурой, с прекрасным ответом на «Эренумаб»).

На момент приема пациентка принимала следующий набор медикаментов: «Периндоприл»/«Амлодипин»/«Эзетимиб» 10 мг вечером / «Алерокумаб» (1 раз в 2 недели).

Дополнительно к медицинскому анамнезу можно указать стентирование правой берцовой артерии, в 2015 году выполнена эндоатерэктомия правой сонной артерии. В 65 лет выполнена холецистэктомия.

В неврологическом статусе наблюдается легкое смазывание речи, тип дизартрии скорее мозжечковая (особенно на пробе ПА-ТА-КА). Со стороны глазных движений отмечается концевой установочный нистагм. Со стороны конечностей наблюдалось повышение тонуса ног по спастическому типу до 1 балла по Эшфорту, формированием пареза ног до 4/5. Чувствительные нарушения отсутствуют.

Сухожильные рефлексы демонстрировали признаки пирамидализма (повышение рефлексов до 3+ с коленных и ахилловых сухожилий с расширением рефлексогенных зон). Брюшные рефлексы не вызывали. Патологических знаков не наблюдалось.

Ходьба пациента при помощи врача, спастико-атактическая. Ходьба по одной линии недоступна, повороты всем телом с риском падения. Мозжечковые знаки в виде стертой дизадиадохокинезии при пальце-пальцевой пробе, невозможность устоять в пробе Ромберга.

В медицинских документах:

  • Стимуляционное ЭНМГ нижних конечностей (икроножные, поверхностные и глубокие малоберцовые нервы, большеберцовые нервы) и игольчатая ЭНМГ передних большеберцовых мышц (миотом L4-L5) → признаки грубого аксонального поражения моторных волокон правого и левого малоберцовых нервов на фоне проксимального поражения (радикулопатия). При проведении игольчатой ЭНМГ в обеих мышцах регистрируются признаки текущего денервационного процесса.

  • МРТ ГОП, ПОП: дегенеративно-дистрофические изменения. Грыжа L5-S1. Артроз фасеточных суставов L1-S1.

  • МРТ КПС: артроз крестцово-подвздошных суставов с признаками костных разрастаний и склерозирование субхондральных зон суставных поверхностей. Данных за сакроилеит нет.

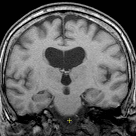
  • МРТ ГМ: участок кистозно-глиозного изменения в правой теменной доле. Единичные очаги сосудистого генеза. Изменений в артериях нет. Синусы и внутричерепные вены без особенностей.

О клинической гипотезе к этому моменту

Речь идет о пациентке 75 лет с прогрессирующей спастической атаксией с аксональной моторной полинейроптией.

Диагностика

Пациентке выполнен ПЦР поиск на частые формы спиномозжечковых атаксий. В результате выявлена экспансия CAG повторов в гене ATX1 до 40/32, тем самым вероятно подтверждая спиномозжечковую атаксию 1 типа.

О спиномозжечковой атаксии 1 типа

Экспансия CAG повторов в гене ATXN1 является причиной данного заболевания. Аллели с 36–39 триплетами присутствовали у лиц с атаксией, но без дополнительных характерных признаков SCA1.

Фенотипы SCA1 были обнаружены у пациентов с числом копий 40 и больше. Однако в случае нашей пациентки крайне важно оценить наличие или отсутствие стабилизирующих вставок CAT повторов.

Выводы

Генетические заболевания могут встречаться не только в детском или молодом возрасте. Некоторые наследственные заболевания могут дебютировать у лиц старше 65 лет. Шаткость и головокружение, а также скованность у лиц старшего возраста не всегда ассоциированы со спондилезом, цереброваскулярными заболеваниями и уж точно не связаны со «старением».


Ваш браузер устарел рекомендуем обновить его до последней версии
или использовать другой более современный.