WhatsApp Max VK Telegram Задать вопрос
Педиатрия

Нарушение зрения на правый глаз и частая головная боль

Байсангуров Астемир Феликсович
Байсангуров Астемир Феликсович
Врач лучевой диагностики
Балабин Николай Сергеевич
Балабин Николай Сергеевич
Врач лучевой диагностики

Пациент 42 лет обратился к офтальмологу с жалобами на нарушение зрения на правый глаз и частую головную боль в правой лобно-височной области в течение последнего месяца.

При осмотре выявлены застойный диск зрительного нерва справа, миопия слабой степени. Рекомендованы проведение МРТ головного мозга с внутривенным контрастированием, консультация невролога.

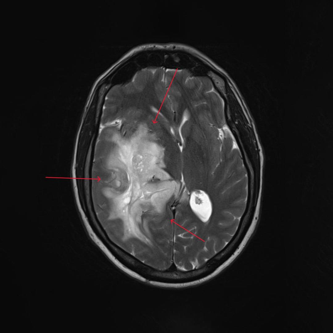
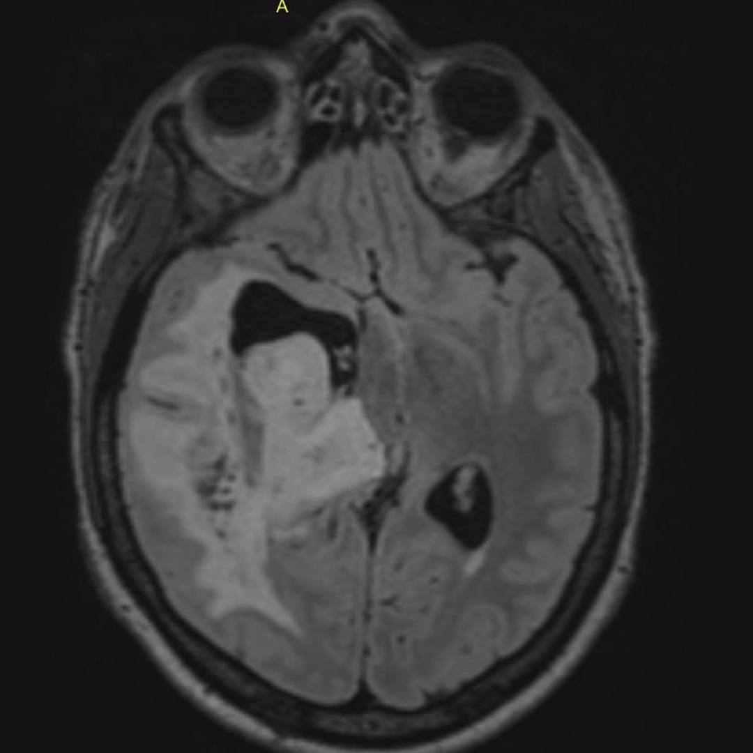
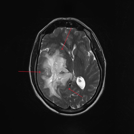
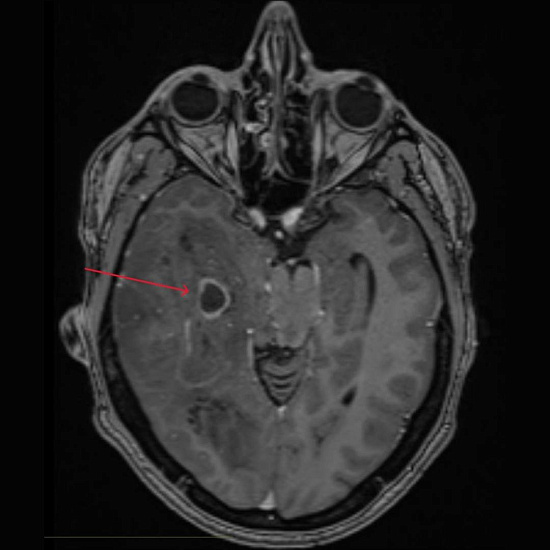
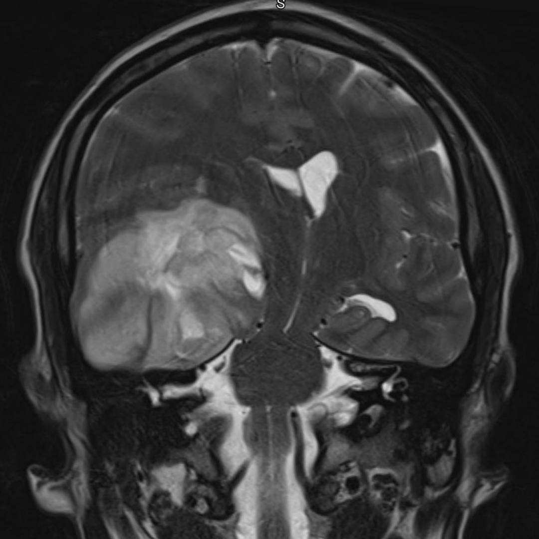
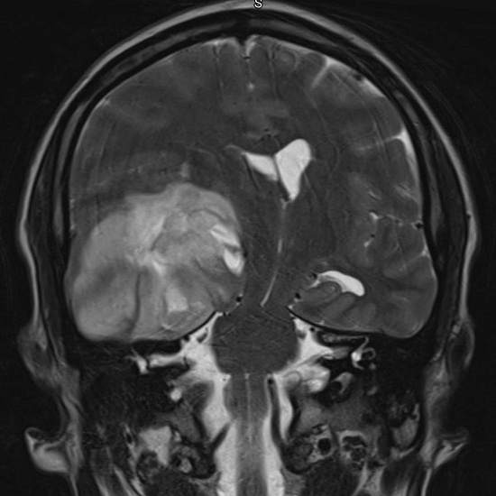
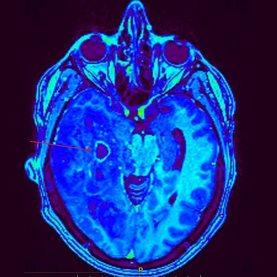
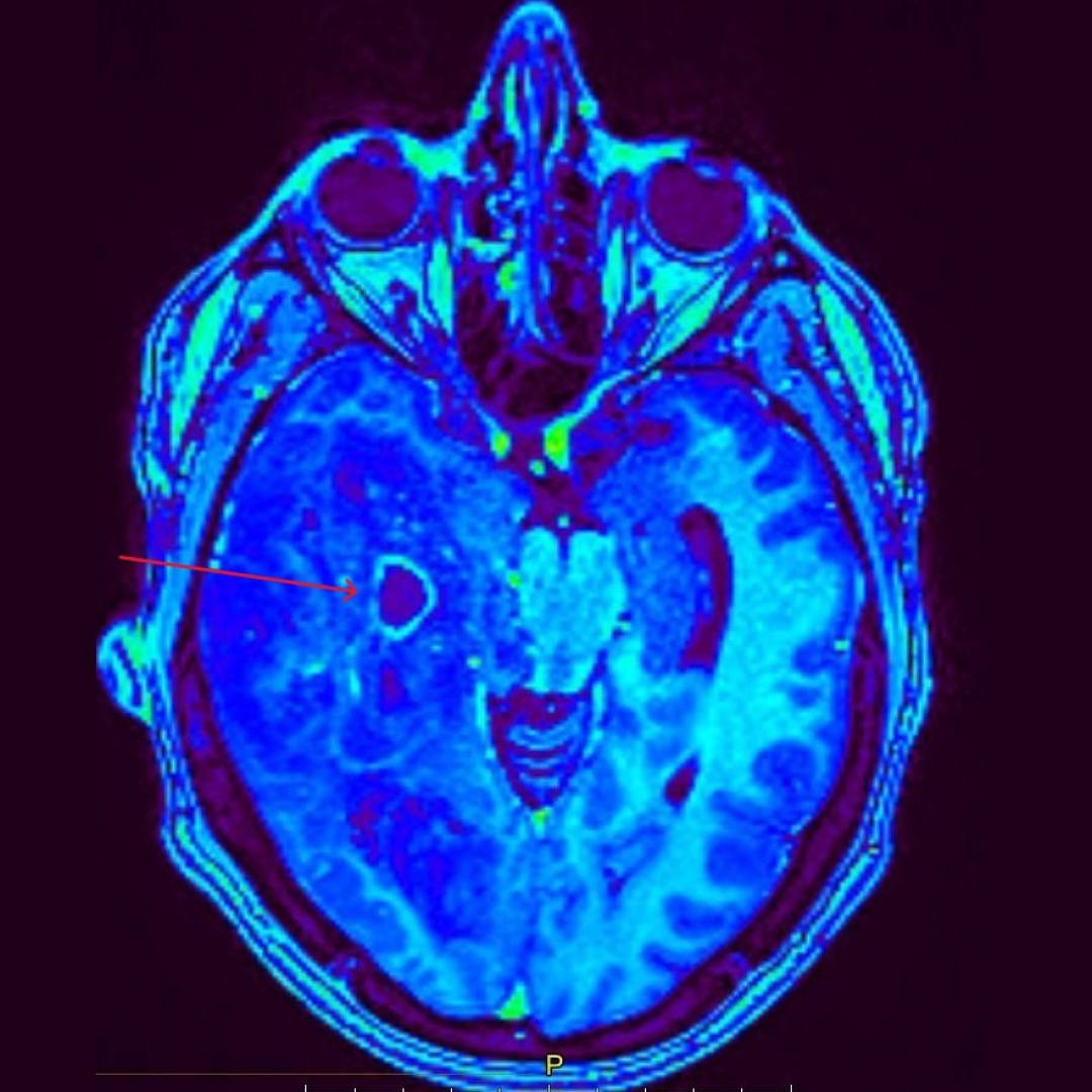
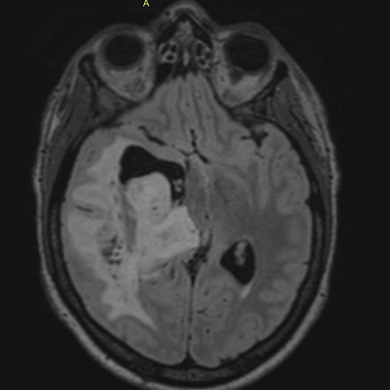
При проведении МРТ головного мозга выявлена опухоль правой височно-теменной области с переходом на островок, вовлечением базальных ядер справа и мозолистого тела с выраженным перифокальным отеком с дислокацией срединных структур мозга влево, компрессией правых бокового и третьего желудочков, среднего мозга.

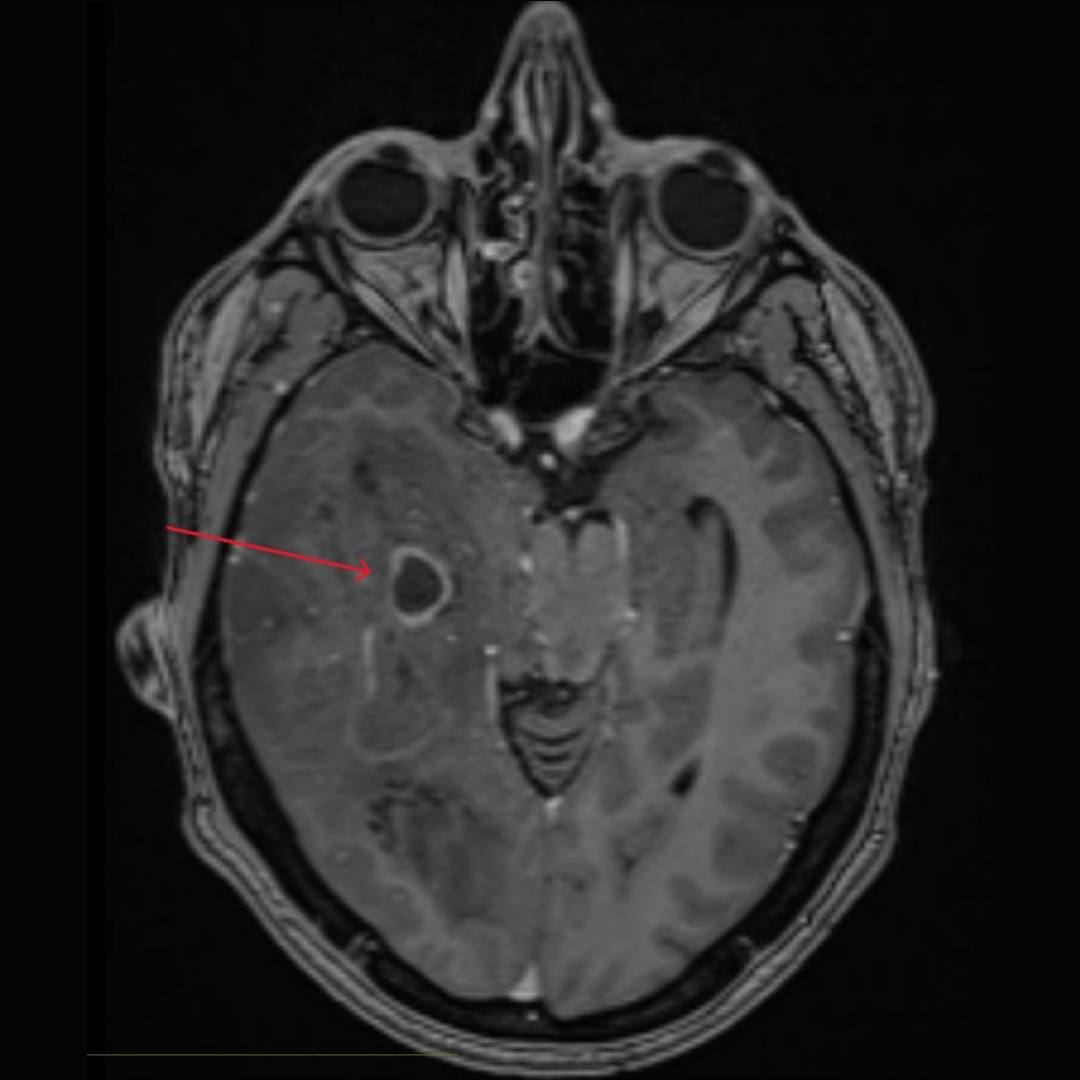
При введении контрастного препарата визуализировался участок интенсивного кольцевидного накопления по периферии кистозного компонента опухоли.

Далее пациент был направлен на консультацию к нейрохирургу с целью определения дальнейшей тактики, проведения биопсии с последующей гистологической верификацией.

По итогам биопсии выставлен диагноз анапластической олигодендроглиомы, WHO grade III.


Ваш браузер устарел рекомендуем обновить его до последней версии
или использовать другой более современный.