WhatsApp Max VK Telegram Задать вопрос
Педиатрия

Что можно увидеть на МРТ головного мозга?

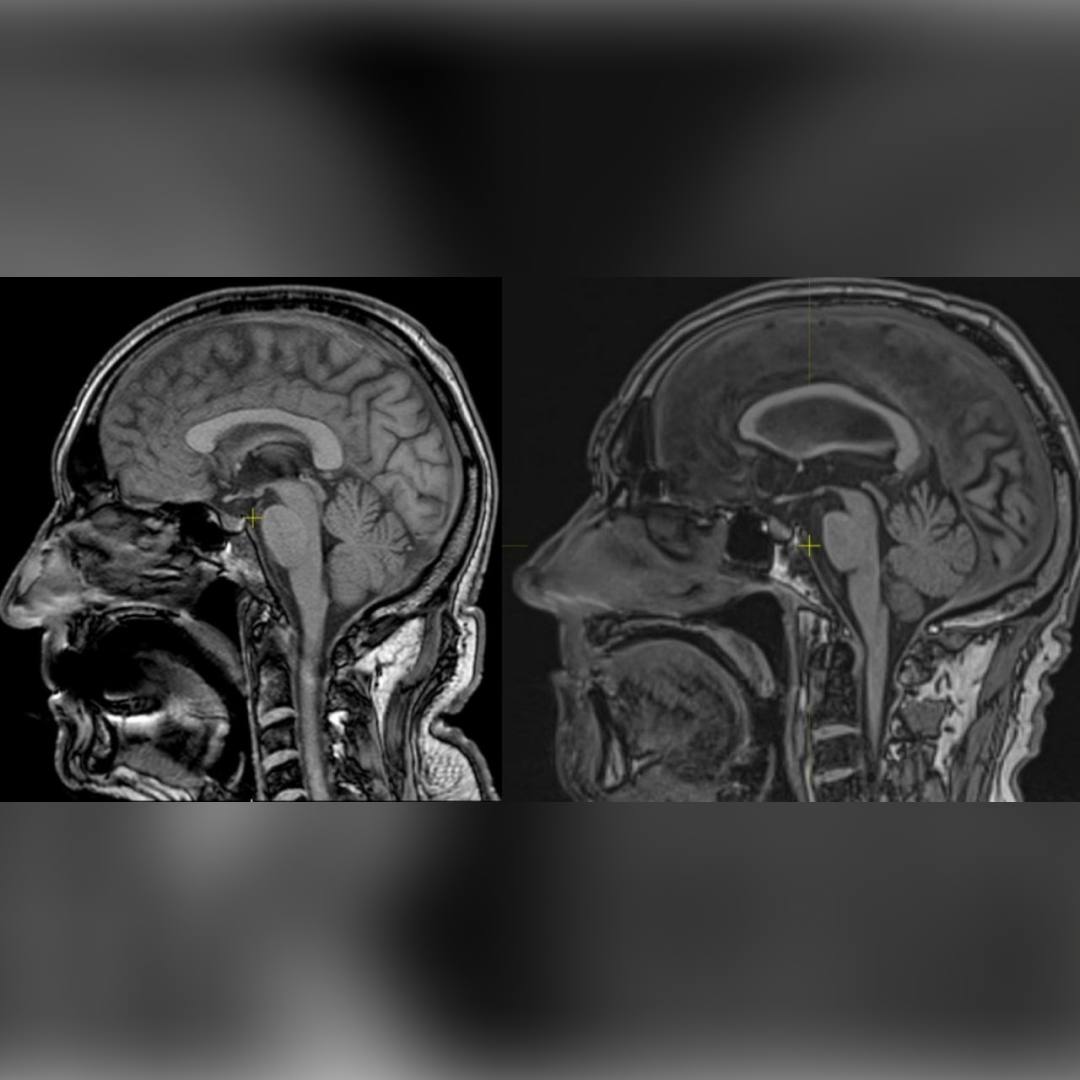
75-летний пациент обратился к нам с жалобами на прогрессирующее нарушение речи и глотания.

10 месяцев назад ему выполнили МРТ. Если сравнить получившийся снимок (картинка слева) со снимком другого 75-летнего пациента без аналогичных жалоб (картинка справа), можно рассмотреть атрофию языка. На осмотре наблюдается атрофия языка со множеством фасцикуляций (неконтролируемые кратковременные сокращения) не только в языке, но и в других мышцах тела.

Пациент был направлен на игольчатое ЭНМГ (электронейромиография), что позволило подтвердить диагноз – болезнь двигательного нейрона.

При выявлении подобных изменений на МРТ выполнение игольчатого ЭНМГ 4-х регионов тела – неотъемлемая часть дообследования пациентов с бульбарными расстройствами.


Ваш браузер устарел рекомендуем обновить его до последней версии
или использовать другой более современный.