WhatsApp Max VK Telegram Задать вопрос
Педиатрия

Что будет, если долго не лечить перелом?

Парсаданян Гайк Каренович
Парсаданян Гайк Каренович
Кистевой хирург

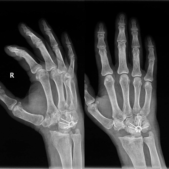
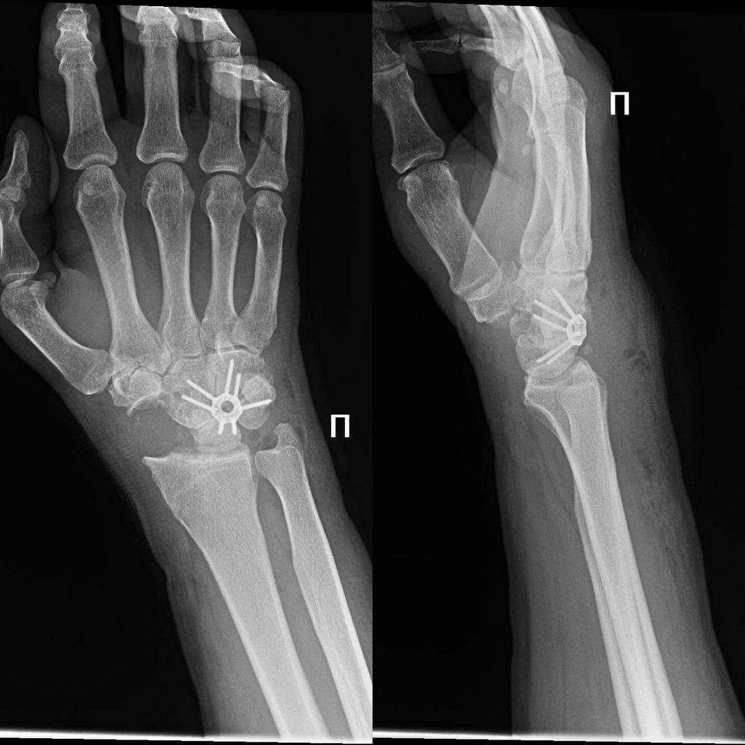
Пациент обратился к Гайку Кареновичу с жалобой на боль и ограничение подвижности в лучезапястном суставе.

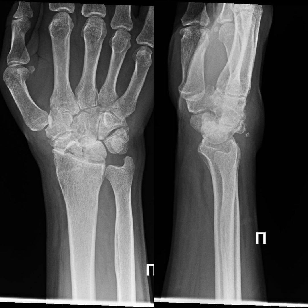
Анамнез: около 15 лет назад получена травма – перелом, про который пациент знал, но не лечил руку.

За это время:

  • Из-за нарушения положения костей, в запястье развился артроз, который еще больше нарушил положение костей. Цикл неоднократно повторялся, и с каждым новым витком проблема усугублялась.

  • Функция кисти пострадала, что привело к болезненности и ограниченности движений.

Это не единичный случай – многие люди годами живут с несросшимся переломом ладьевидной кости, который плавно переходит в ложный сустав, из которого еще плавнее вытекает артроз во всем лучезапястном суставе!

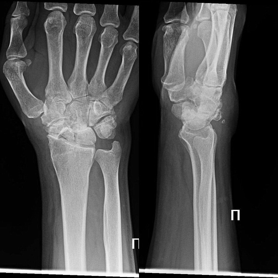
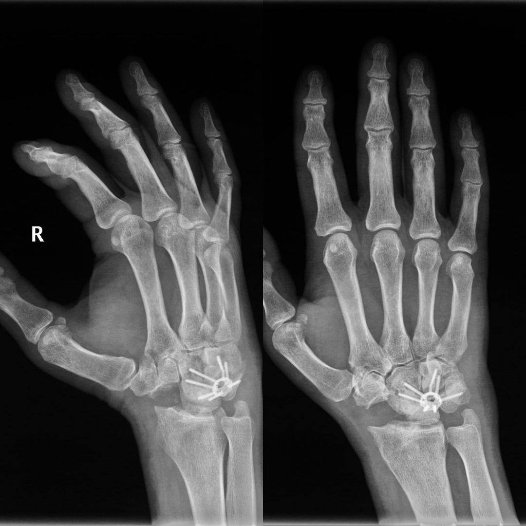
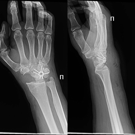
Для решения проблемы Гайк Каренович выполнил операцию – парциальный артродез.

Благодаря этому:

  • Боли в руке резко уменьшились;

  • Объем движений увеличился.

Пациент доволен результатом, качество его жизни значительно повысилось.

Но полностью восстановить функцию лучезапястного сустава через столько лет после травмы невозможно.

Помните: при получении травм кисти необходимо как можно скорее обратиться к кистевому хирургу и начать лечение!


Ваш браузер устарел рекомендуем обновить его до последней версии
или использовать другой более современный.