WhatsApp Max VK Telegram Задать вопрос
Педиатрия

Болит спина

Речь пойдет о болях в спине. Именно с такой жалобой на прием к доктору Тео обратилась данная пациентка.

Женщину на протяжении длительного периода времени беспокоили нарастающие, скручивающие, тянущие боли в грудном и поясничном отделе позвоночника. Боли усиливались при движении, а именно при укладывании на спину и левый бок. При этом ощущались слабость и онемение правой руки.

Кроме того, пациентка жаловалась на периодические боли в животе, общую слабость и запоры.

Ранее выполненные рентгеновские исследования позвоночника выявили дегенеративные изменения.

Со слов пациентки, в последние несколько месяцев боли периодически стали носить более острый характер с ирридацией в пах.

Лечение на предыдущих этапах не дало положительной динамики, лишь незначительные временные улучшения.

Состояние женщины продолжало ухудшаться, существенно нарушая качество жизни.

В стационаре выяснилось, что у пациентки в анамнезе помимо остеопороза имеются заболевания щитовидной железы, сахарный диабет 2-го типа, онкозаболевание лимфатической системы в стадии ремиссии, депрессивное расстройство. Также пациентка ранее прооперирована по поводу удаления матки из-за миоматоза.

Вследствие того, что болевой синдром не позволял провести полноценное обследование (принятые меры его купирования не дали результата), все исследования проводились под внутривенной седацией.

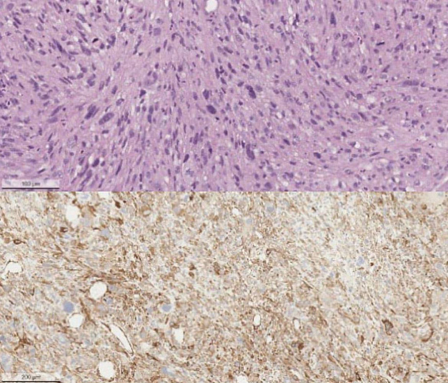
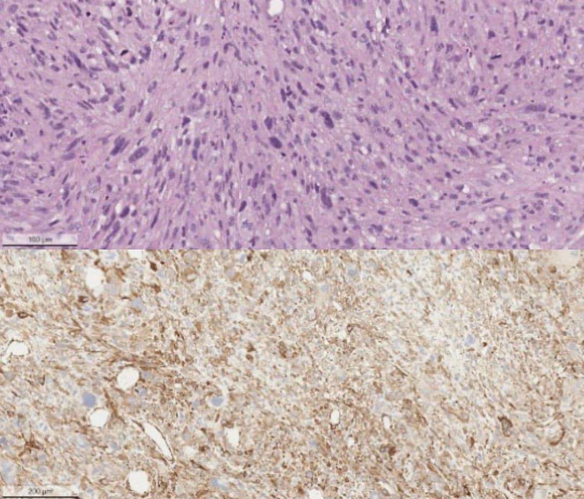
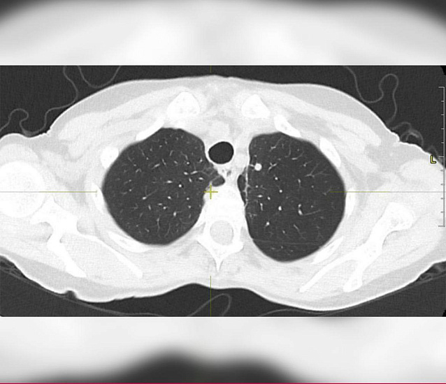
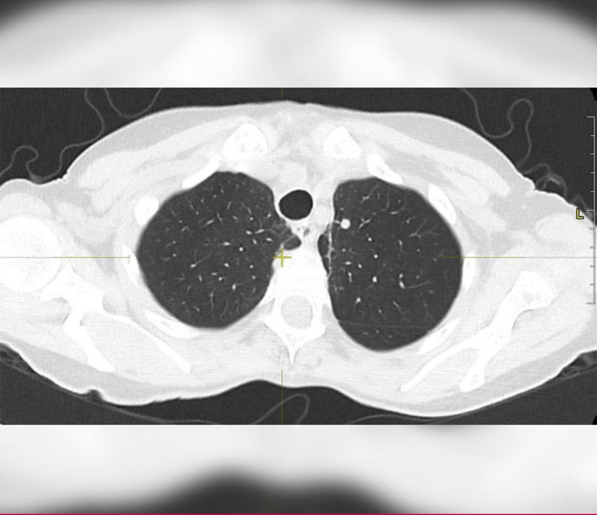
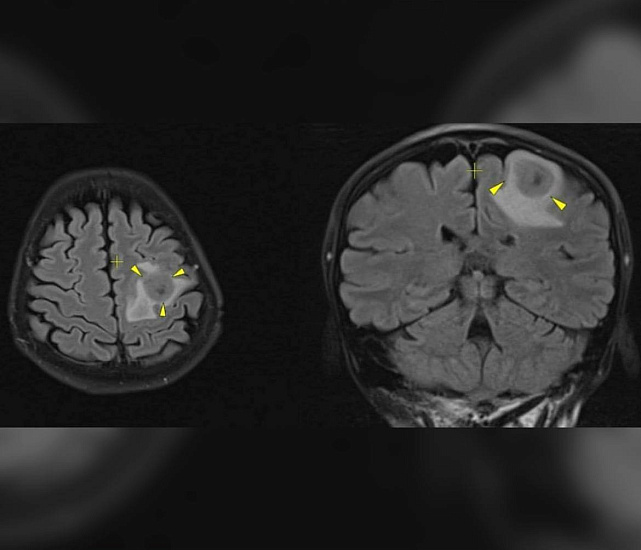
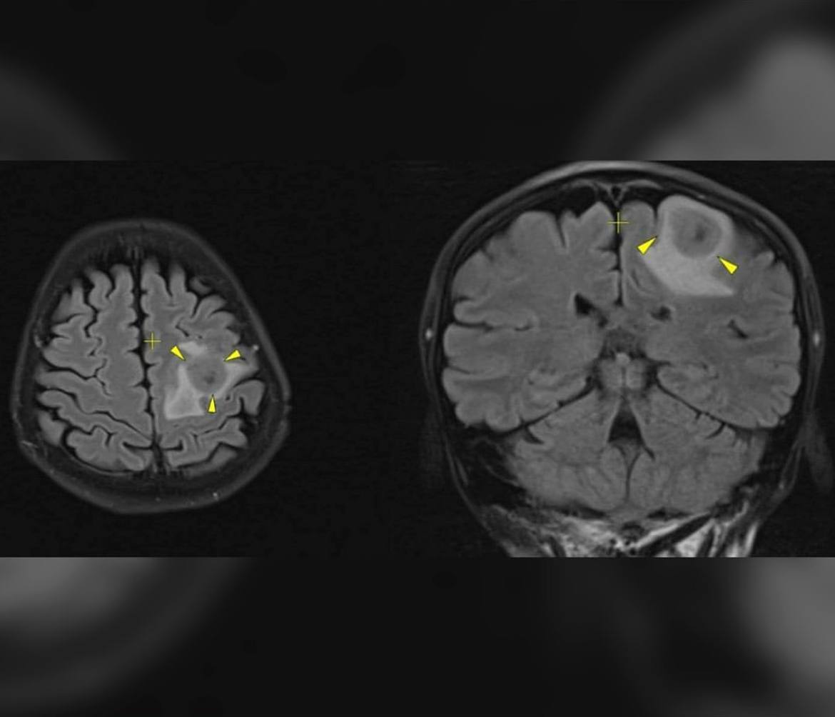
Диагностика показала наличие метастатических процессов с первичным очагом в грудной клетке. Это образование и было причиной болей. Результаты биопсии подтвердили лейомиосаркому.

Этой историей мы хотели напомнить, что боль – серьезный повод прийти к врачу, чтобы выяснить причину ее появления.


Ваш браузер устарел рекомендуем обновить его до последней версии
или использовать другой более современный.